Giành lại sự sống cho bé gái bị lóc da toàn bộ vùng mông
(NLĐO) - Bị xe tải va chạm rồi tiếp tục bị phương tiện khác cán qua, bé gái 8 tuổi bị đa chấn thương nguy kịch, đặc biệt tổn thương lóc da diện rộng hiếm gặp.
TPHCM: Nhiều người nhập viện sau khi ăn bánh mì cùng một tiệm
(NLĐO)- Một số người đã phải nhập viện sau khi cùng ăn bánh mì tại một tiệm ở phường Vũng Tàu
Kỳ thị đang tác động trực tiếp đến cơ thể ra sao?
(NLĐO) - Các chuyên gia cảnh báo khi bị kỳ thị, cơ thể và tâm trí sẽ đồng thời phát đi những tín hiệu cầu cứu.
Nhiều người hỏng mắt vì pháo nổ dịp Tết
(NLĐO)- Các trường hợp chấn thương mắt do pháo thường có mức độ tổn thương nặng, diễn tiến phức tạp.
Nốt mụn nhỏ khiến nam sinh 17 tuổi sốc nhiễm khuẩn, suy đa tạng
(NLĐO) - Từ một nốt mụn bọc ở vùng mông, nam sinh rơi vào tình trạng sốc nhiễm khuẩn, suy đa tạng, hai phổi đầy ổ áp xe, tổn thương hoại tử lan rộng.
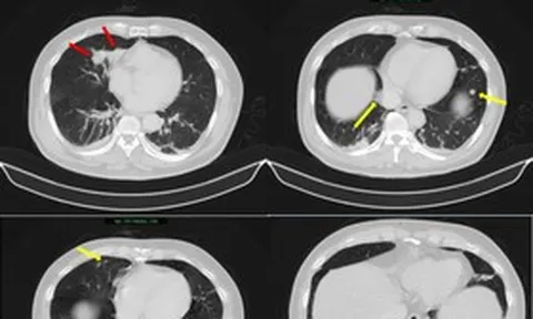
Ca robot mổ điều trị phổi biệt lập đầu tiên tại Việt Nam
Ngày 2-3, Bệnh viện Bình Dân (TP HCM) cho biết vừa thực hiện thành công ca phẫu thuật robot cắt thùy dưới phổi trái điều trị bệnh lý phổi biệt lập nội thùy.
Nguy kịch vì triền miên quá chén
Những cuộc vui dày đặc cùng thói quen uống rượu bia, ăn nhiều đạm, chất béo dịp trước và sau Tết khiến số ca viêm tụy cấp, xuất huyết tiêu hóa gia tăng
Cháu bé 3 tuổi đuối nước tại hồ bơi khu nghỉ dưỡng
(NLĐO) - Bé 3 tuổi đuối nước tại hồ bơi khu nghỉ ở Sóc Sơn (Hà Nội), ngừng thở, ngừng tim, được bác sĩ lưu trú gần đó cấp cứu kịp thời, qua cơn nguy kịch.
Bệnh viện Nhi Đồng 1 phát cảnh báo có trang fanpage giả mạo bệnh viện
(NLĐO) - Hành vi này có nguy cơ gây hiểu nhầm cho phụ huynh và cộng đồng, ảnh hưởng đến uy tín đơn vị cũng như tiềm ẩn rủi ro tiếp cận thông tin sai lệch.
TPHCM: Thêm bệnh nhân nhập viện vì nghi ngộ độc bánh mì
(NLĐO) - Liên quan vụ nghi ngộ độc bánh mì A.C trên đường Phan Văn Trị, phường Hạnh Thông, TPHCM, cơ sở y tế tiếp nhận thêm 5 bệnh nhân đến khám
Khẩn cấp đưa huyết thanh từ TPHCM ra TP Huế cứu bé gái ngủ dưới nền nhà bị rắn cạp nia cắn
(NLĐO) - Trong lúc nằm ngủ dưới nền nhà, bệnh nhi bị rắn cạp nia cắn vào bàn tay phải. Các bác sĩ phải chạy đua "24 giờ vàng" đưa huyết thanh từ TPHCM ra cứu.
Hưng Yên có thêm bệnh viện gần 1.500 tỉ đồng
(NLĐO) – Vinmec khai trương bệnh viện thứ 10 – Vinmec Ocean Park 2 tại Hưng Yên, tổng vốn gần 1.500 tỉ đồng, theo mô hình “Bệnh viện cộng đồng”.
Nam giới đang mất dần nhiễm sắc thể Y
(NLĐO) - Việc mất nhiễm sắc thể Y ở nam giới ngày càng cho thấy mối liên hệ với các căn bệnh nghiêm trọng.
Thông tin mới nhất về vụ nghi ngộ độc bánh mì vừa xảy ra ở phường Hạnh Thông
(NLĐO) - Tính đến nay, TPHCM đã tiếp nhận 17 trường hợp nghi ngộ độc bánh mì điều trị tại các bệnh viện trên địa bàn thành phố.