Hồi hộp, tim đập nhanh kéo dài, phát hiện bệnh tim nguy hiểm

26/03/2026 20:31

(NLĐO) - Bệnh nhân nhập viện vì tim đập nhanh, hồi hộp, được phát hiện thông liên nhĩ kèm rung nhĩ, có nguy cơ đột quỵ và suy tim.

Nữ bệnh nhân 63 tuổi, đến Viện Tim mạch, Bệnh viện 19-8 (Hà Nội) khám trong tình trạng khó thở tăng dần khi gắng sức, kèm cảm giác tim đập nhanh kéo dài.

Hồi hộp, tim đập nhanh kéo dài, phát hiện bệnh tim nguy hiểm - Ảnh 1.

Bệnh nhân mắc thông liên nhĩ - một dị tật tim bẩm sinh. Ảnh: Bác sĩ cung cấp.

Qua thăm khám và xét nghiệm, bác sĩ xác định người bệnh mắc thông liên nhĩ – dị tật tim bẩm sinh với lỗ thông lớn khiến buồng tim phải giãn. Đồng thời, bệnh nhân đã xuất hiện rung nhĩ, một dạng rối loạn nhịp nguy hiểm.

Khoảng 200.000 người Việt tử vong vì bệnh tim mạch mỗi nămThông tin đáng chú ý về số ca tử vong vì bệnh tim mạch

Theo các chuyên gia, rung nhĩ không chỉ gây khó chịu mà còn làm giảm hiệu quả co bóp của tim, khiến máu ứ trệ và dễ hình thành cục máu đông. Các cục máu này có thể di chuyển lên não, gây đột quỵ hoặc làm nặng thêm tình trạng suy tim.

Đáng chú ý, bệnh thường diễn tiến âm thầm trong nhiều năm, ít biểu hiện rõ ràng nên dễ bị bỏ sót. Khi bước vào tuổi trung niên, người bệnh mới xuất hiện các triệu chứng như khó thở, mệt mỏi kéo dài, giảm khả năng gắng sức. Nếu không điều trị, bệnh có thể dẫn đến tăng áp động mạch phổi, suy tim và nhiều rối loạn nhịp nguy hiểm.

Trong các biến chứng, rung nhĩ được xem là đáng lo ngại nhất do làm tăng nguy cơ hình thành huyết khối. Ở người mắc thông liên nhĩ, tình trạng giãn buồng nhĩ kéo dài khiến rối loạn nhịp xuất hiện sớm hơn và khó kiểm soát hơn.

Trước đây, phương pháp điều trị chủ yếu là phẫu thuật mở ngực, xâm lấn lớn và cần thời gian hồi phục dài. Hiện nay, với sự phát triển của tim mạch can thiệp, kỹ thuật bít lỗ thông qua da giúp đóng dị tật mà không cần mổ, giảm đau và rút ngắn thời gian nằm viện.

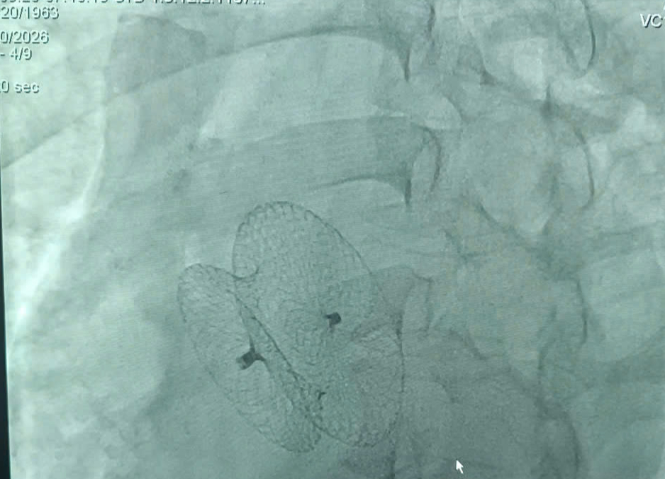
Hồi hộp, tim đập nhanh kéo dài, phát hiện bệnh tim nguy hiểm - Ảnh 2.

Bệnh nhân được can thiệp bít lỗ thông liên nhĩ

GS-TS Phạm Mạnh Hùng, Viện trưởng Viện Tim mạch, cho biết xu hướng hiện nay là điều trị toàn diện, ít xâm lấn, đặc biệt với bệnh tim bẩm sinh ở người trưởng thành. Việc kết hợp xử lý cấu trúc tim và rối loạn nhịp trong cùng một lần can thiệp giúp giảm rủi ro, rút ngắn thời gian điều trị và cải thiện tiên lượng lâu dài.

Các chuyên gia khuyến cáo người dân không nên chủ quan với các biểu hiện như hồi hộp, khó thở, tim đập nhanh hoặc giảm sức bền kéo dài. Đây có thể là dấu hiệu của bệnh tim tiềm ẩn. Người đã được chẩn đoán cần theo dõi định kỳ để phát hiện sớm biến chứng và điều trị kịp thời.