Bệnh viện Nhân dân 115 (TP HCM) vừa điều trị thành công cho một bệnh nhân nữ 67 tuổi mắc viêm xoang bướm trái do nấm. Bệnh nhân đến khám trong tình trạng đau đầu kéo dài nhiều tháng kèm chảy mũi có mùi hôi.

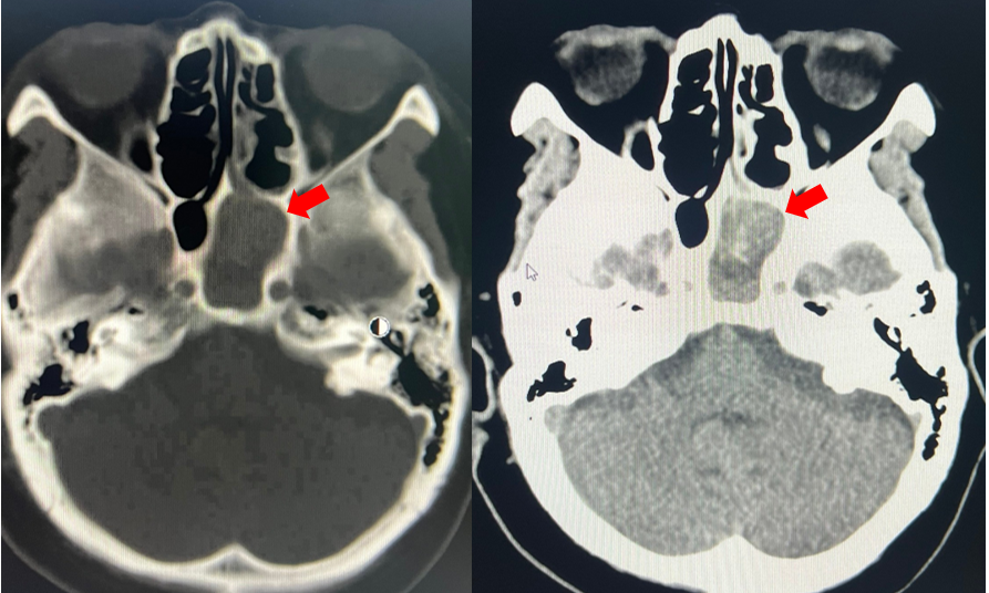
Hình ảnh khối nấm xoang bướm bên trái (mũi tên đỏ) - Ảnh: Bệnh viện Nhân dân 115
Qua thăm khám, chụp CT scan mũi xoang và cận lâm sàng, các bác sĩ xác định bệnh nhân mắc viêm xoang bướm trái do nấm kèm nhiễm trùng xoang bướm.
Các bác sĩ đã tích cực phối hợp đa chuyên khoa (Tai Mũi Họng, Tim mạch, Nội thận, Nội tiết) để ổn định các bệnh đồng mắc của người bệnh. Khi tình trạng cho phép, các bác sĩ đã tiến hành phẫu thuật nội soi mở xoang bướm lấy sạch mô nấm, mô hoại tử, mô viêm trong lòng xoang, đồng thời lấy mẫu bệnh phẩm nghi nấm gửi xét nghiệm giải phẫu bệnh.
Sau phẫu thuật, người bệnh tiếp tục được theo dõi và điều trị tại Khoa Tai Mũi Họng và được rút miếng cầm máu 2 ngày sau mổ. Đến thời điểm xuất viện, người bệnh đã không còn đau đầu và chảy mũi.
Trường hợp này một lần nữa cảnh báo về bệnh lý viêm xoang bướm do nấm, một căn bệnh diễn tiến âm thầm, dễ bị bỏ sót, đặc biệt ở người lớn tuổi với nhiều bệnh nền.
Viêm xoang bướm do nấm là dạng nhiễm nấm không xâm lấn, thường do các loại nấm sợi (chủ yếu là Aspergillus spp.) phát triển lâu ngày, tạo thành một "quả bóng" đặc quánh màu nâu đen hoặc xanh xám trong lòng xoang. Chính vì vị trí hiểm này, bệnh có triệu chứng mơ hồ, không điển hình, dễ nhầm với viêm xoang mạn thông thường.
Nếu không phát hiện và xử trí kịp thời, khối nấm có thể dẫn đến các biến chứng nguy hiểm như tổn thương thần kinh thị giác gây mù không hồi phục, viêm mô tế bào quanh hốc mắt, hoặc viêm màng não, áp xe não do nhiễm trùng lan rộng.
"Người dân không nên chủ quan với triệu chứng đau đầu kéo dài không giảm khi dùng thuốc hoặc có bất thường về thị lực, cần đến khám chuyên khoa để được chẩn đoán và điều trị kịp thời"-BS Nhâm Tấn Đạt, Khoa Tai Mũi Họng-Bệnh viện Nhân dân 115 khuyến cáo.